Category Archives: Dental Implants
Trust an Experienced Southfield Implant Dentist With Your Smile
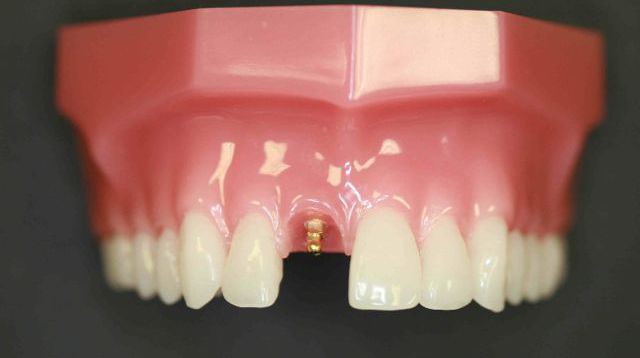
Replacing missing teeth is an important step in your journey towards better health. While a [...]
Using Snap-In Dentures To Secure Your Bite!
Do you struggle with loose dentures? If so, you likely understand how difficult it is [...]
Are Mini Dental Implants as Good as Regular Implants? [Video Explanation]
Missing teeth do more than just impact the appearance of your smile. Natural teeth have [...]
Manage the Cost of Dental Implants With Flexible Financing
To invest in something is to spend time, effort, or money on it with the [...]
Stabilize Loose Dentures With Dental Implant Solutions!
While music is known as a universal language, some may argue that food is as [...]
Find Affordable Dental Implants in Nearby Detroit, MI
Learning how to budget your money is an important life skill. Between mortgage payments, groceries, [...]
Mini Implants in Southfield, MI, at Aesthetic Dental
Looking to replace missing teeth? You’re not alone! According to the Centers for Disease Control [...]
Dental Implant
Affordable Dental Implants in Southfield, MI When tooth loss keeps you from speaking, chewing, and [...]
Mini Dental Implants
Affordable Mini Dental Implants in Southfield When you’re missing teeth, you deserve a dentist who [...]
